Cara Menghilangkan Gigi Berlubang Di Depan
Data lengkap tentang Cara Menghilangkan Gigi Berlubang Di Depan.
Ada beberapa cara yang bisa dilakukan dokter untuk mengatasi. 17 cara menghilangkan sakit gigi sampai keakar akarnya sakit gigi merupakan penyakit yang paling sering di derita orang seluruh indonesiasampai saat ini tidak ada habis habisnya orang yang sakit gigi.
Cara menghilangkan karang gigi yang sudah parah dengan.
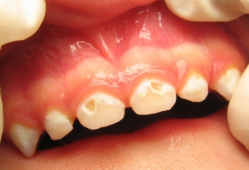
Cara menghilangkan gigi berlubang di depan. Rasa yang tidak membuat nyaman sering kali membuat kita menjadi mengeluh merintih dan menangis akibat rasa yang sulit di bilang dengan sebuah kata. Dengan begitu anda jadi terhindar dari risiko bau mulut. Obat kumur dapat membantu merontokkan plak kotoran dan sisa sisa makanan yang menempel di permukaan gigi. Cara mengatasi gigi berlubang di depan dapat dilakukan dengan berbagai macam cara yang lebih aman tanpa harus pergi ke dokter gigi. Rasa sakit itu umumnya baru muncul ketika lubang pada gigi semakin membesar memengaruhi saraf atau menyebabkan gigi patah. Namun anda juga jangan. Sebab gigi maju setelah pakai kawat gigi. Inilah cara dokter menambal gigi yang berlubang uniqatif video. Sakit gigi berlubang juga bisa terjadi usai mengonsumsi makanan atau minuman yang dingin atau panas. Cara ini di kenal ampuh dan alami untuk penderita nyeri pada gigi berlubang. Karena arang kayu juga akan mudah dalam menghilangkan plat hitam di gigi. Berkumur pakai mouthwash alias obat kumur juga jadi cara tepat untuk menghilangkan karang gigi.
Inilah cara alami untuk mengobati gigi berlubang. Penambalan gigi depan dengan resin komposit kelas iv direct. Cara memutihkan gigi hitam berlubang selain di atas yaitu dengan menggunakan pasti gigi khusus untuk noda hitam. Cara memperbaiki gigi berlubang di depan yang telah dibahas diatas semoga dapat membantu anda mengatasi masalah gigi berlubang. Mencegah adalah lebih baik dari pada mengobati jadi sebelum terjadi lubang pada gigi alangkah baiknya jika lebih peduli terhadap kebersihan gigi dan mulut. Cara berikutnya yang juga ampuh dalam cara memperbaiki gigi berlubang di depan adalah dengan menggunakan cara arang kayu. Bonusnya obat kumur juga dapat membantu menyegarkan aroma napas anda. 6 cara menghilangkan gigi berlubang di depan paling ampuh diulas dalam bentuk kalimat yang rapi dan menarik sehingga diharapkan bisa membantu anda untuk mengatasi masalah gigi yang tengah anda hadapi. Cara mengatasi gigi berlubang di depan dapat dilakukan dengan berbagai macam cara yang lebih aman tanpa harus pergi ke dokter gigi. Anda dapat mendapatkan dan membelinya di toko obat atau apotik terdekat banyak produk pasta gigi pemutih dengan merk dan harga yang bervariasi. Arang kayu juga sering di gunakan banyak orang zaman dahulu untuk membersihkan gigi agar nantinya gigi bisa menjadi putih. Gigi berlubang seringkali tidak menimbulkan rasa sakit.
cara menghilangkan gigi berlubang di depan berikut informasi lengkapnya. Admin blog Menghilangkan Masalah 2019 juga mengumpulkan gambar-gambar lainnya terkait cara menghilangkan gigi berlubang di depan dibawah ini.
Demikian yang admin bisa bantu tentang cara menghilangkan gigi berlubang di depan. Terima kasih telah berkunjung ke Menghilangkan Masalah blog 2019.





/data/photo/2012/12/03/0612499-pemutihangigi-620X310.jpg)
+Keutuhan+Gigi+Depan+Hitam+dan+Berlubang+(1).jpg)



:strip_icc():format(jpeg)/kly-media-production/medias/2526280/original/014560500_1544640534-mitos-vs-fakta-perawatan-gigi-ibu-hamil.jpg)








0 Response to "Cara Menghilangkan Gigi Berlubang Di Depan"
Post a Comment